Table of Contents

Don?t blame those poor parents with large families who are already struggling to make ends meet. Give them a break ? it?s not their fault. They couldn?t help being born into a demographic guaranteed to be inflicted with bad health and rotten teeth.
Low income parents simply don?t have enough money to buy their kids a $2 toothbrush every month and nor do they have the time to teach them how to use it.
Quote.University of Auckland researchers Yan Myo Aung and Dr Sandar Tin Tin sought to investigate possible associations between tooth decay (dental caries) and other medical conditions in preschool children.
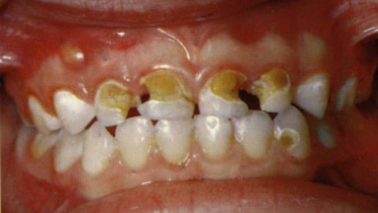
But along the way they found 40 per cent of the children had one or more decayed, missing or filled tooth surface in their primary (baby or milk) teeth.
Aung and Tin Tin said the “significant” and “surprising” association between tooth decay and injury admissions may be due to “common factors” relating to wider issues of social inequities ? being from lower socioeconomic status, poor physical environments and large families.
The data showed non-European children and those living in Northland ? in more deprived areas or those without water fluoridation ? had higher rates of tooth decay.?End of quote.

Kids with rotten teeth are being picked up at age 5 when they attend school. This study looked at all 5-year-old children who lived in Northland and Auckland and received school entry dental examinations in 2014-15.
Fluoridation is a matter for local councils and we shouldn?t be taking away their right to choose, the fact that it helps prevent tooth decay is no excuse.
Quote.Of those surveyed, more than 64 per cent of Pacific and 59 per cent of M?ori children had tooth decay.?End of quote.
Being a bit concerned about the racial hate speech brigade let?s not state the obvious, but why should skin colour give anyone dibs on sickness and tooth decay? It?s just not fair! They obviously need more money for their larger than average families and appalling health issues. Someone better let the princess know that they?re still waiting to be bailed out of child poverdy.
It was “appalling” to see that two in five pre-school children had caries, Tin Tin told Stuff.
“This underscores the need for urgent public health actions to improve oral health and reduce inequalities in pre-school children,” she said.
Rates of tooth decay in New Zealand far exceed rates overseas.?End of quote.
Public health is responsible! They better get off their big fat butts and start doing something about this. Household visits to families with pre-schoolers might be a good start.
It is imperative that we reduce inequalities in pre-school oral health.
Either these kids start brushing or the kids with good teeth should have their toothbrushes confiscated and their diets changed to include a surfeit of sugary drinks, sweets and rubbish food. It might be the best way to deal to this inequality.
There?s something seriously wrong if our health system can?t train these kids to brush their teeth and stop eating sugar laden food and drink.